

保険外治療の料金は、こちらをご参照ください。
審美歯科
バランスの取れた美しい口元を作り出し、自信を持った明るい笑顔へと導きます。ホワイトニング(歯の漂白)・レーザーピーリング(歯茎の漂白)やメタルボンド、オールセラミック(e-max)、ジルコニアクラウン、ハイブリッドセラミック(エステニア)などの最新技術を積極的に取り入れ、口元に自信がない、コンプレックスを解消したい方などに非常に喜ばれています。
歯肉漂白


Befor(歯肉漂白前)





After(歯肉漂白後)
審美治療


Befor
①差し歯の際の隙間を補修
②歯間の補修
③黄色い着色の補修





After
ノンクラスプデンチャー
ノンクラスプデンチャーとは、金具(バネ)のない部分入れ歯です。保険診療の部分入れ歯の場合は審美的に問題を起こしてしまう、この金具(バネ)が存在します。ノンクラスプデンチャーは、金具(バネ)の代わりに、プラスチック製の義歯床で義歯を支えます。そのため、口を開けても金具(バネ)が見えないので、審美性にとても優れています。さらに、今までの部分入れ歯とまったく違う部分は、破折に強い素材で歯肉の色調と同化するところです。


通常の義歯





ノンクラスプデンチャー
インプラント
歯を失ってしまって噛めない、入れ歯が合っていない・わずらわしいなどの方に対して、インプラント(人工歯根を植える)治療を行っています。また、インプラント手術時において、医師による術前審査および全身管理をおこないます。ご不安な方や疾患をお持ちの方もご安心いただき、ご不明な点はお気軽にお尋ねください。


ノーベル・バイオケア社製インプランター
数あるインプラントシステムの中でも、安価な国産のインプラントを使わず、世界のシェアのトップのNOBEL BIOCARE社製のインプラントを使用しています。
その理由は、世界の歯科大学やクリニックでのインプラントの成績・評価・安全性が高いインプラント実績と、その国にしかない生産量の少ないインプラントは消えて無くなるおそれがあり、 もしもの時、部品の供給が途絶えると修理不能の状態になる可能性があるからです。


Befor





After


Befor





After
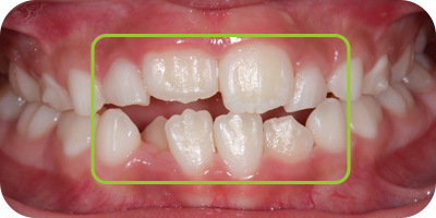
小児・審美矯正


当院では、歯列育形成を行っております。歯列育形成は、一般的な矯正治療と考え方を異にします。一般的な矯正治療では永久歯の萌出後に歯列不正を引き起こしている原因歯に対して治療を行っていくのが一般的です。その際、やむを得ず便宜的に抜歯が必要になるケースもあります。それに対し、歯列育形成は悪くなった歯並びを対処的に治療するのではなく将来生えてくる永久歯を適切な位置に導き、歯列不正の予防を行うものです。
床矯正
6才8ヶ月から11才0ヶ月までの症例
※13才頃まで治療予定
初診時は、全体的に生えてきた歯に対して顎が狭く明らかなスペース不足でした。それを解消すべく、ワイヤーを使用することなく、お子さまにとって比較的負担の少ない取り外し式の装置のみでの矯正を進行中です。
6才
8ヶ月

9才
2ヶ月

11才
0ヶ月
















その他


スポーツマウスガード
フィット感がよく、スポーツ中も外れない、オリジナルのマウスガードがの作成は可能です。まず当院で歯型と嚙み合わせをとり、次回通院の際にマウスガードを口の中で微調整して完成です。カスタムメイドタイプマウスガードはつけごごちの面だけでなく、効果や安全性におけるすべての面においてお勧めです。
保険外治療の料金は、こちらをご参照ください。
